脳疾患について
当院では、脳、脊髄、末梢神経系およびその付属器官(血管、骨、筋肉など)を含めた神経系全般の疾患のなかで主に外科的治療の対象となりうる疾患について診断、治療を行います。
尚、当院では脳血管障害(脳動脈瘤、脳動静脈奇形など)、脳腫瘍・微小神経血管減圧術の中で治療難易度の高い症例のうち、開頭手術においては聖マリアンナ医科大学脳神経外科教授である田中雄一郎先生、脳血管内手術においては昭和大学藤が丘病院脳神経外科教授である寺田友昭先生を招聘させていただき、高度な手術技術をご指導いただいております。お二人の先生は日本でも有数の技術をお持ちの先生で、高度な医療の提供をいただいております。
疾患を見る
脳動脈瘤治療の最近のトピックス
Woven EndoBridge Device(WEB, ウェブ)
WEBは血管分岐部にできた、頸部が広い動脈瘤に対して用いられます。広頸分岐部瘤に対して、従来のコイル塞栓ではコイルを密につめることで動脈瘤に血流が入らないようにしますが、瘤入口が広いため正常血管にコイルがはみ出してしまったり、入口が密に塞栓できず不完全閉塞になることがあり、難治性と考えられています。WEBは網目の細かいメッシュでできたカゴ型の治療機器で、動脈瘤の中で広げて入口を塞ぐように留置すると動脈瘤への血流が入りにくくなり、動脈瘤内の血液が血栓化し閉塞します。WEBを1つ留置するだけなので、多数のコイルを使用するコイル塞栓よりも短時間で終了できることが利点です。米国では2019年から使用されており、日本では2020年末から使用可能となっております。
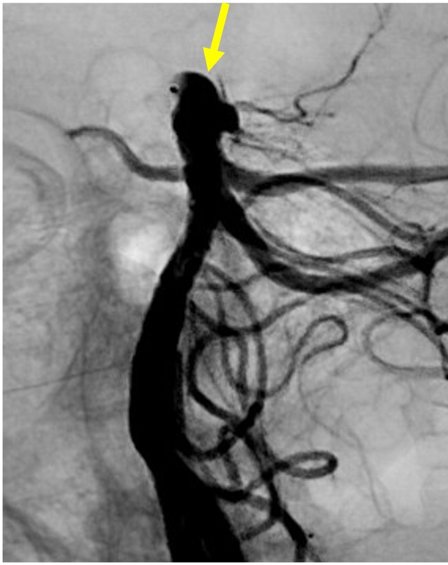
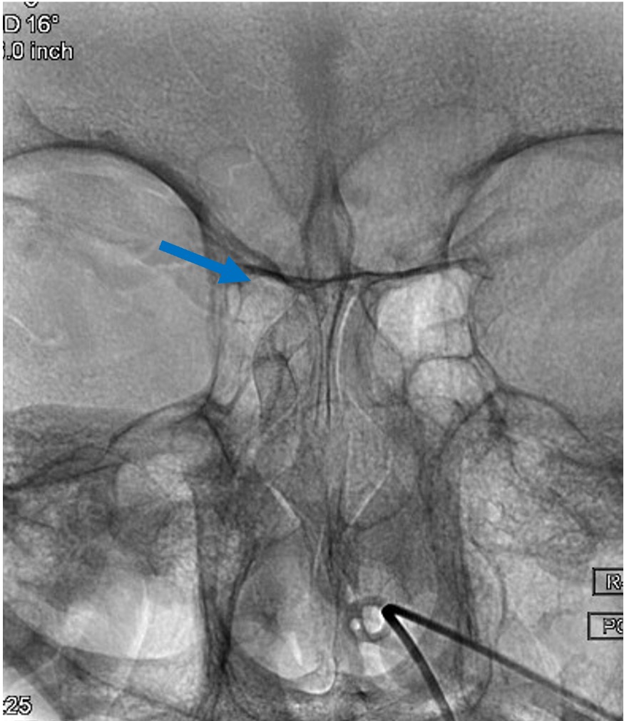
当院で行われた症例を提示いたします。80歳、女性、くも膜下出血の患者様。血管撮影にて図1〜4赤矢印の様に脳底動脈に広頸のネックを伴う不整形の瘤を認めました。母血管の蛇行狭窄が強く、マイクロカテーテルが複数入りにくい状態だったのでWEB(図5〜8黄色矢印)を用いて治療を行いました。術後MRAでも図10青矢印の様に動脈瘤は描出されません(図9は術前MRA)。現在も出血なく経過しております。
図1 |
![]() 図2 |
図3 |
![]() 図4 |
図5 |
図6 |
図7 |
![]() 図8 |
図9 |
![]() 図10 |
Flow Diverter Stent(フローダイバーターステント)
大型・巨大脳動脈瘤に対する画期的な治療法としてFlow Diverter Stent(FD, フローダイバーターステント)が行われ2015年4月に薬事承認され、当院でも2021年頃から治療を開始しました。治療に用いるFDのサイズ選択には厳密な血管径の計測が必要で、治療には高度な技術が必要です。適応は径5mm以上、ネック径4mm以上の未破裂脳動脈瘤です。当院で現在まで30例程度施行しました。現在のところ治療成績は安定しており、動脈瘤径約10mm以下の方は1年以内にほとんどの症例で縮小を認めております。
その1例を提示します。患者さんは65歳女性です。頭痛でMRIAを行い、血管撮影にて図1赤矢印の様に最大径7.8mm.ネック径4mmで、パイプラインというフローダイバーターステント(X線にて確認可能、図2〜5青矢印)を留置しました。その後、4ヶ月後の血管撮影ですが、図6緑矢印の様に動脈瘤は消失しています。
図1:右内頸動脈瘤FD前 |
図2 |
![]() 図3 |
図4 |
![]() 図5 |
図6:右内頸動脈瘤FD後、瘤の描出なし。 |
















