脳梗塞
脳卒中(脳血管障害ともいいます)は、脳の血管に何らかのトラブルが起こって脳に血液が行かなくなって死んでしまったり(脳梗塞)、脳の血管が切れて出血(脳内出血、くも膜下出血)する病気で、我が国の3大疾患(ガン、心臓病、脳卒中)のひとつに数えられています。当院においても、脳梗塞は総入院数の20%を占めています。
分類
脳梗塞は原因などからいくつかに分類されます。
- 脳血栓(アテローム血栓性脳梗塞):脳自体の血管が動脈硬化で細くなっていき詰まってしまうもので、比較的太い血管の壁に沈着物がたまって起こった狭窄が原因です。
- ラクナ脳梗塞:脳の内の細い血管が詰まって起こるもので、高血圧の関連が強いと言われます。
- 脳塞栓:主に心臓などからの血栓の一部が血液の流れにのって流れてきて脳の血管に閉塞(つまる)ものです。
診断
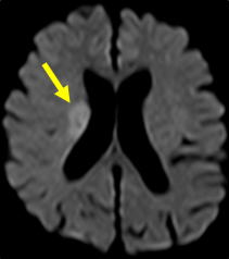
脳梗塞は発症してもすぐにCTやMRIで所見が出るわけではありません。最も感度の良い「拡散強調画像」という特殊な検査法でも、発症から約30分から1時間ほど経たないと異常は発見できません。従って、ごく早期の脳梗塞は「脳卒中の症状があり、CTで出血がなければ脳梗塞」と診断するわけです。また、CTでは診断に限界がある場合も多く、MRI検査が必要です。当院では症状のある患者さんは最優先にMRI検査(24時間稼働)をしております。(図1)
図1:脳梗塞のMRI拡散強調画像。矢印の部位が淡く白くなっています。 |
治療
脳は血液不足、酸素不足に弱く、血液の流れが停止すると脳細胞は約5分程度で死んでしまうので、脳の血流が途絶えると全ての脳細胞を救うことはほぼ不可能となります。しかし、血液が行かなくなって死んだ部分の周りには血液が足らなくて機能が停止して死にかけているけどまだ死んでいない細胞(ペナンブラ)が数多くあります。こういった細胞は治療によって救える可能性があります。脳梗塞の治療では、早期に血流を再開通して酸素不足にある脳細胞の部分を脳梗塞へと進行させないことが大切で、時間との勝負になります。平成17年に脳塞栓などの場合に血栓を溶かすことで詰まった血管を再開通をさせることができる組織プラスミン活性化因子(tPA:ティーピーエー)という血栓を溶かすのに有効な薬が認可されました。現在では脳塞栓の場合、tPAがまず優先される治療法です。ただし、使用できるのは倒れてから3時間以内に投与可能な時のみであり、すでに広い範囲で脳梗塞が完成していない、といった条件を満たしたごく一部の方にしか使用できません。当院でも、tPAの点滴を行っていますが、閉塞血管の再開通率は30%程度であり、閉塞している血管が太いとほとんど効果がない事が分かってきました。現在、当院ではtPAで十分な再開通が得られなかった患者さんでは積極的に脳血管内手術を行い、血管を詰まらせている血栓を細いカテーテルで溶かしたり破壊してしまう血栓溶解・破砕術や狭い部分を風船(バルーン)付きのカテーテルで押し広げる経皮的血管形成術を行っています。昨年から血栓除去の新しい器具(図4)が使用可能になりました。症例によって、器具を使い分けており、再開通率は約60%まで上がっております。
図2-1:矢印の部分が淡く脳梗塞になりかけています。 |
図2-2:矢印の部分の血管が写っていません |
図2-3:矢印の部分の血管が閉塞しています。 |
図2-4:マイクロカテーテルを閉塞血管内に入れて、血栓溶解剤を投与、再開通が得られました |
図2-5:翌日のMRI。この患者さんは右麻痺、失語も改善して自宅退院しました。 |
図3-1:矢印の部分の血管が閉塞しています。 |
図3-2:矢印がバルーンです。バルーンで拡張して、再開通が得られました。 |
しかし、全例に成功する訳でなく、時間の制約もあります。場合によっては死んでしまった脳組織に血液が再び流れ込むことによって逆に出血などの合併症を引き起こす場合もあります。頚部内頚動脈狭窄は、最近のメタボリックシンドロームの増加と合わせて患者さんの数も増えており、問題となっています。動脈硬化による頸動脈狭窄症(アテローム血栓症)の場合、血管の狭い(狭窄)部分を手術で直接広げる内膜剥離手術という手術が世界的にも行われ、その効果が認められています。また、狭い部分を風船(バルーン)付きのカテーテルで押し広げる「経皮的血管形成術」という治療が行われることもあります。特に首の部分の太い頚動脈(内頚動脈)をカテーテルで広げる経皮的頚動脈血管形成・ステント術が平成20年4月に健康保険で新しく認められました。当院でも症例数は130例を超えました。その他、特に若い方で脳梗塞を起こしたことがある、あるいは一過性脳虚血発作(一時的に手足の麻痺や言語障害が出現するも24時間以内に改善すること)を起こしたことがある方は、何らかの異常が脳の血管などにある可能性がありますので、専門医(脳神経外科医または神経内科医)にご相談いただくことをおすすめします。
治療の進歩
脳梗塞急性期の治療法として組織型プラスミノゲン・アクティベータ(t-PA:一般名アルテプラーゼ)静注による血栓溶解療法が2005年に認められてから、早くも13年近くが経過し、2012年9月からはt-PA静注療法の対象患者が発症後3時間から4.5時間に延長されました。2010年10月から発症後原則8時間以内の主幹動脈閉塞に対し、Merciリトリーバルシステムを用いた血栓除去による血管内治療が認められました。2011年から血栓除去用カテーテルであるPenumbra systemが保険承認されました。これは血栓の直前まで吸引用カテーテルを持っていき、そこから持続的に吸引を行い、血流を再開通するものです。(図1-a、b)2014年7月からステント型血栓回収機器(図2)が導入されました。ステント型血栓回収機器は、ステントを閉塞血栓部位に留置することで血栓がステント内に捕捉され、その機器を回収することで血栓を除去し、再開通を目指すものです。現在は3種類の血栓除去用ステントの使用が可能です。(図3)2015年にナッシュビルで開催された国際脳卒中カンファレンスでは脳主幹動脈閉塞に対して、ステントを用いた血栓除去術が保存的治療と比較して有意に予後良好であることが示されました。現在、ステントを用いた血栓除去術は欧米、本邦で必須の治療となっており、当院においても、飛躍的に再開通率が上がり、TICI2b以上の再開通を全症例の約95%で得られております。
図1-a:Penumbra system |
![]() 図1-b:Penumbra systemの使用イラスト |
| 図2:ステント型血栓除去デバイスビデオ |
![]() 図3:ステント型血栓除去デバイス |
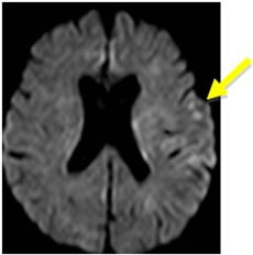
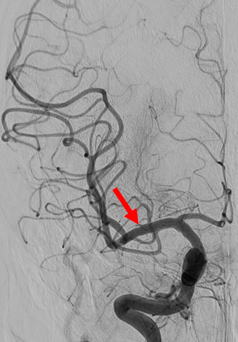
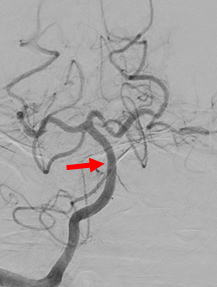
当院で行われた血栓除去術の実際の症例をお示しします。1例目は65歳男性、自宅にて動けなくなっているところを発見されました。軽度意識障害、重度の左片麻痺にて当院に救急搬送、NIHSS17点、心房細動を認めました。頭部MRI(図4)にて右大脳半球に矢印のように虚血巣の出現あり、MRA(図5)にて矢印のように右中大脳動脈の描出なく、緊急にて血管撮影を施行しました。バルーン付きのガイディングカテーテルを入れて、血栓より遠位にマイクロカテーテルを入れて、血栓の遠位からステント(Trevo provue 4×20mm)を展開後、血栓を回収しました。その後の撮影では閉塞していた血管はTICI2bまで再開通しており、治療直後から患者さんの左片麻痺は改善を認め、翌日のMRIでも梗塞巣は広範とならず、治療17日後に自宅退院しました。現在は社会復帰しており、元のお仕事にも戻っております。(図6、7、8、9参照)
図4:MRI拡散強調画像 |
図5:MRAで左内頚動脈描出なし |
図6:総頚動脈撮影の正面では青矢印の様に、右中大脳動脈が閉塞しています |
図7:ステント回収後、閉塞血管は再開通しています。 |
図8:回収したステントと血栓 |
図9:術後MRIでは、脳虚血巣は広範にならずに済んでおります。 |
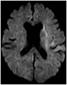
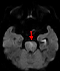
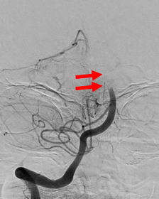
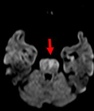
2例目を紹介いたします。81歳女性、自宅にて意識がなく、倒れているところを発見されました。来院時、JCS200と重篤な意識障害、左共同偏視、右片麻痺を認めました。頭部MRIにて脳幹に淡い梗塞、(図1)MRAにて脳底動脈の閉塞を認めました。(図2)再開通しなければ、死亡率が高い病態です。緊急にて血管撮影を行い、脳底動脈の閉塞を認めました。(図3)Penumbra吸引カテーテルと血栓除去用ステント(Trevo provue 4×20mm)を用いて血栓除去を行い、TICI3の完全再開通を認めました。(図4)翌日のMRIでは脳幹に梗塞を認めるも、(図5)意識障害は急速に改善しました。超高齢なために、約2ヶ月間のリハビリテーションを経て自宅へ戻りました。
![]() 図1:MRI拡散強調画 一部脳幹に淡い虚血を認めます。 |
||
図2:矢印のように、脳底動脈の描出が見られません。 |
図3:右椎骨動脈撮影です。矢印のところで脳底動脈は閉塞しています。 |
|
図4:Penumbra血栓吸引カテーテルと血栓除去用ステントを用いて血栓除去を行い、TICI3の完全再開通を認めました。 |
||
![]() 図5:翌日のMRIでは、脳幹、側頭葉、後頭葉の一部に梗塞巣は小さな範囲で済んでおります。 |
||


























