髄膜腫
髄膜腫は全脳腫瘍のうち約25%前後を占めるといわれ、くも膜という脳を覆っている膜の細胞から発生する良性の腫瘍です。発生しやすい場所は大脳半球円蓋部、傍矢状洞部、大脳鎌など様々で、徐々に増大し脳を圧迫していきます。発生する部位により精神症状・麻痺症状・けいれん・知覚障害・視力視野障害などいろいろな症状をきたします。徐々に大きくなると脳の圧迫が強くなり、放置しておくと生命に危険を及ぼす可能性があります。髄膜腫はゆっくりと大きくなる腫瘍ですので一刻を争う必要はありません。非常に小さいうちにみつかれば、数ヶ月後に検査を行い、増大していれば手術という選択肢もあります。みつかった時点で大きかったり、脳浮腫を伴ったりしているものでは外科的摘出を行います。腫瘍が大きくなればなるほど、手術が困難になる可能性は高いと考えられます。特に当院では外科的摘出術に先立ち、脳血管内治療による塞栓術を行っています。通常大きな腫瘍、又は増大している腫瘍は栄養血管が発達している事がほとんどです。栄養血管を塞栓する事により、手術中の出血を減らし、腫瘍が柔らかくなり摘出し易くなる事も期待出来ます。
その他に、髄膜腫に対し強い放射線をその腫瘍細胞に集中的に当てるガンマナイフによる治療が始められ、現在では健康保険の適応も受けています。従来の放射線治療法との違いはコンピューターで計算し腫瘍部分に高い放射線量が当たるように工夫されたものです。通常最大径が3cm以下のものが適応になると思います。ガンマナイフを希望される場合には、ガンマナイフ治療が可能な施設を紹介しています。
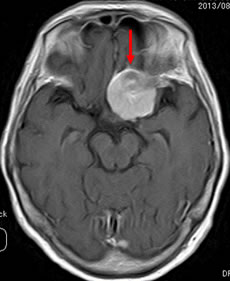
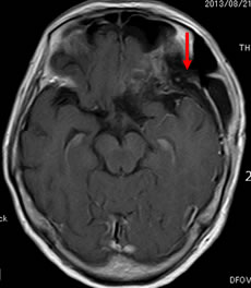
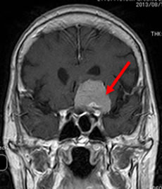
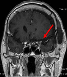
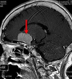
当院での症例をお示しします。症例は66才女性、進行する左眼の視力(左:手動弁)、視野障害にて当院来院。MRIにて赤矢印のように左蝶形骨内側に大きな腫瘍を認めます。開頭手術治療前に腫瘍の栄養血管にカテーテルを入れて、固体塞栓物質を造影剤と混ぜて注入します。最後に再開通しない様プラチナコイルを留置して終了します。その2日後に腫瘍摘出を行いましたが、出血は少量で輸血も行っておりません。視力も左は1.5まで改善し、患者さんは元気で退院しました。(図1-a・b、図2-a・b、図3-a・b、図4-a・b)
図1-a:術前 |
図2-b:術後矢印の腫瘍は消失 |
図2-a:術前 |
図2-b:術後 |
図3-a:術前 |
図3-b:術後 |
図4-a:術前血管撮影, 栄養血管からの造影では赤矢印の様に腫瘍濃染を認める。 |
図4-b:塞栓後血管撮影, 黄色矢印の様に腫瘍濃染は消失した。 |
頭蓋咽頭腫
良性脳腫瘍の代表的なもののひとつで、視床下部や下垂体といった重要構造物の近くに発生する腫瘍です。胎生期の頭蓋咽頭管が消えずに残ったものから発生する先天性腫瘍と考えられています。原発性脳腫瘍の3%を占め、全年齢層にわたってみられますが、約20%は15歳未満の小児期に発生し、小児脳腫瘍の中の約9%(第4位)を占めます。ホルモンの中枢である下垂体柄に発生し、頭蓋底の中央にあるトルコ鞍と言うくぼみの直上に7割が存在します。嚢胞を形成しやすく、中にモーター油様の内用液とコレステロール結晶を含みます。腫瘍実質内には、石灰沈着がみられます。腫瘍そのものは良性の性質を持つのですが、発生部位が脳の奥深くであり、かつ機能的に重要な役割を担う構造物近傍に発生するため、慎重な治療介入が求められる疾患です。頭蓋咽頭腫が発生する脳の奥深くには、下垂体と呼ばれる構造物が存在することが知られています。下垂体は、身体の恒常性や活動に際して必要不可欠な多くのホルモンを分泌しています。これらの機能が障害されることから、下垂体機能低下症に伴う症状や尿崩症(尿が多量に出る)などを呈することになります。頭蓋咽頭腫の発生部位の上方には視床下部が存在しています。視床下部にはさまざまな中枢機能が備わっており、体温調節、モルモン分泌の調整、情動や性欲、記憶の管理などを行っています。頭蓋咽頭腫ではたとえば肥満や性格の変化といった合併症を呈することがあります。更に近くに視神経が存在しており、視力視野障害や異常が生じることになります。加えて、髄液の流れが障害を受けることから頭痛、水頭症を発症することになります。成人では、視神経症状と精神症状で発症することが多いです。治療は良性腫瘍で、開頭全摘出により完全治癒が期待できますが、周辺の重要神経組織との癒着、浸潤がある場合は、全摘出は困難です。非全摘例には、再発防止のためにガンマナイフによる残存腫瘍に対する補助的な治療は8割以上に有効とされています。最近、内視鏡を併用した低侵襲手術手技の発達に伴い、開頭をせずに経副鼻腔(蝶形骨洞)的に摘出術が限られた症例のみ可能となりつつあります。
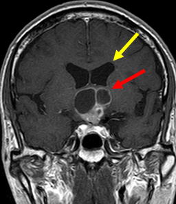
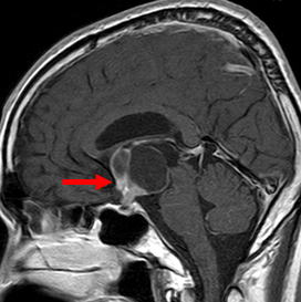
当院で施行された症例をお示しします。60歳男性、仕事でのミスが多くなり、認知症の原因精査のMRIにて、鞍上部に嚢胞を伴う腫瘍像を認め、水頭症も併発していました。(図1-a,b,c)
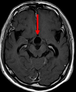
この患者さんは、開頭にて下垂体柄から視床下部の一部を除き、腫瘍の亜全摘を行いました。(図2-a,b,c)術後、水頭症も改善しており、術後3ヶ月後に残存腫瘍にガンマナイフ照射を行い、現在、8年経過しておりますが再発なく経過しております。
図1-a正中部に赤矢印の様に嚢胞性腫瘤を認めます。 |
図1-b 黄色矢印の如く脳室拡大も認めます。 |
図1-c正中部に赤矢印の様に嚢胞性を認めます。 |
|
図2-a 術後5ヶ月後です。矢印の腫瘍は摘出されています。 |
図2-b 矢印の様に下垂体柄周囲に腫瘍像が一部残っていますがその他の腫瘤は摘出されています.脳室は大きいですが、術後見当識障害は改善し、正常に戻り、水頭症の症状を認めていないので経過観察としております。 |
図2-c 矢印の様に下垂体柄周囲に腫瘍像が一部残っていますがその他の腫瘤は摘出されています。 |














